Your Bed Is Full of Millions of Living Things
Your bed isn't always the freshest. Admit it! But when you change your sheets, you do expect it to be clean. Our advice is to lower your standards. On any given day, your bed is teeming with living things. Would you believe 10 million dust mites call your bed home? You may not be able to see them, but they are there, waiting for you to come back soon.
Why are they there? They love your skin. They like eating the dead bits, and you have plenty of that each night on your sheets. Most people have no reaction to their presence. Unless you have asthma, what you don't know won't hurt you. Except, now you do know!
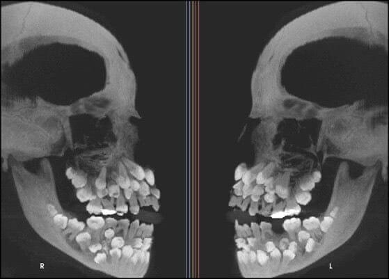
Why Toddlers Have Incredibly Terrifying X-Rays
Toddlers are adorable little humans, no doubt. We love them, at least when they are not screaming on a plane. At their best, they bring joy to strangers and make us hope for a better future. But here, we see an actual X-ray of a little one. Would you believe that they have all their adult teeth hidden under their eyes? We would have never guessed, and we're not sure we wanted to know.
If you think about it, it makes sense. We all lost our baby teeth and saw new ones appear in our mouths. Where could they have come from, except from inside our own heads? Well, here they are. You're welcome!
The Way You See Yourself in the Mirror Is Not How We See You
Some of us have a perpetual problem with pictures. We're just not as photogenic as we think! For whatever reason, what we see in the mirror doesn't always look like the snap. We admit we've been annoyed. But we are at least glad to find out there is a reason for the gap in perception, according to science. Have you ever tried to horizontally flip your photo on Microsoft Paint?
Most of us are actually not perfectly symmetrical. Sad, but true! But don't worry too much about that. When your brain sees your own face slightly skewed, it is jarring. But to everyone else, it's not really so dramatic.
You'll Be Disturbed to Hear What Happens When You Grab a Brain
We've all seen pictures of brains floating in jars. Thanks to folks who donated their bodies to medical research, we get to see what's inside our heads, up close and personal. Some say it's kind of creepy. Others say the human brain looks strangely peaceful in the goo. Where you fall on the question is neither here nor there. We just wonder: What would happen if we picked it up, and held it in our hands?
The truth is, you would have brain all over your lap. This organ is not very stable in its natural state. It's totally delicate. Scientists used chemicals to harden it long before you see it in a display. The more you know!
Domestic Cats Are Sort of an Invasive Species
We love their furry little faces. But your domestic cat might be wreaking havoc on the environment if you've been letting him roam free. The natural carnivorous activity of little felines has a huge impact on birds in your neighborhood. Have you ever noticed that cats kill, just for fun? All those little gifts they've been bringing you are having an impact out there. It's a lot worse than you would ever suspect!
Predation by your cute little fuzzball kills 2.4 billion birds every year in America alone. We're not sure how many birds are actually flying around out there. But we do know that they're not even eating any of them. What a massacre!
This Can Be Buried for Hundreds of Years and Then Reinfect You
Anthrax terrified Americans after 9/11 for a while. There were a bunch of scary letters mailed with white powder inside, and some had this poison. For now, it seems the terrorists have tired of this method. But we're curious: What exactly was this stuff, and where does it come from? Well, actually, it comes from the soil. It's a bacteria called Bacillus anthracis. And it's a lot hardier than any of us would like to believe.
Anthrax can actually be buried for hundreds of years in the dirt. If you disturb the soil, it can easily get active and start infecting people. This stuff just doesn't want to die!
Just About Everything on Earth Is Contaminated With This Right Now
Microplastic is an environmental issue at the moment, but we don't often hear about it. Small plastic pieces that are less than five millimeters long are quite harmful to animals and ocean life. According to National Geographic: "They block digestive tracts, diminish the urge to eat, and alter feeding behavior, all of which reduce growth and reproductive output. Their stomachs stuffed with plastic, some species starve and die." What can be done?
Researchers are urging us to recycle properly and reduce our use of plastic disposables. And you know those tiny plastic microbeads on your face scrub? Those are part of the problem, too!
The One Fact Nobody Ever Wants to Hear
As much as we don't want to admit it in public, we get pretty gassy at times. How gassy? Apparently, the average person farts around 14 times per day. When that occurs, the smelly air leaves your body rapidly. It enters the atmosphere at about 7 miles per hour. It's not like we are going to ask, so we're happy someone serious took the time to query. Pretty stinky stuff!
To put this into relatable terms, you fart so much every day that you could fill a birthday balloon. We're not judging. We just ask that you aim in the other direction. And open a window!
The Reason Dogs Like Squeaky Toys Is Kind of Gruesome
Dogs are man's best friend, sure. But are they the best friend of all kinds of little critters? Maybe they play nicely with them, these days. But we all know that dogs descend from wolves. As a relative of a vicious hunter like that, a few of the instincts are still left over. Newsflash: Your dog's delight in hearing squeaky toys is all about mimicking the sounds of a frightened, injured animal.
That's right: your puppy is enjoying his catch. You might be disturbed to realize there is any connection to a kill, but that's not going to change anything now. It is what it is.
Japan Bombed China in WWII With Something You Never Knew
During World War II, there was no shortage of atrocities. In Europe, the holocaust was happening under everyone's noses. In Hawaii, Pearl Harbor was bombed. And In Asia, Japan was doing something sinister. Oddly enough, no one ever talks about it. In a trial for plans to defeat the USA, Japan unleashed infected bombs into China on civilians. They laced the bombs with things like cholera, smallpox, anthrax, and botulism. They even tried the bubonic plague!
The idea was to infect the enemy during war so they couldn't fight back effectively. Two nukes dropped on Japanese cities ended the ar early. But those plans never came to fruition.
Dentures Used to Be Made of Something Pretty Sad
In the 1800's, dentistry was pretty gnarly. There was no novocaine, first of all. And no one really knew anything about the nerve structures of the face. So whatever was going on, we're happy the past is the past. But it's still interesting to take a look at the best innovations of the time. Especially since so many teeth got pulled out as a first resort, dentures were in demand. What were they made from?
Usually the teeth of dead soldiers, it turns out. It was very lucrative to scout out the dead bodies during war. You could take those pearly whites and create wonderfully realistic fake teeth. Because actually, they weren't fake. They were the real deal!
You Don't Even Want to Know How Dirty Your Purse Is
Few of us have big enough pockets to carry everything we need in public. For guys, there are briefcases and backpacks. Girls usually prefer purses or bum bags. To each their own, we say. But on the issue of handbags, it's worth washing them once in a while. Or at least, give it a decent wipe. The average bag has a whopping 10,000 bacteria per square inch. Would you believe it?
That's not all, folks. Around thirty percent of those germs are fecal in nature. In layman's terms, that means poo bacteria. If you bring it into the public bathroom all the time, you shouldn't be shocked!
Guess How Many Frozen Bodies Are on Mount Everest at the Moment
Mount Everest is considered to be a major achievement for climbers. It's on the bucket lists of so many, but few will ever make it to the top. The conditions are incredibly harsh the farther up you go. And honestly, many people die on the way! It's sad, but there are around 200 frozen, dead hikers stranded there, as we speak. They are being used as landmarks for the living!
Is this a dignified burial? Depends who you ask. Surely, it's not an easy site for families to come and pay their respects. But what can you do, when you get left 8,000 feet above sea level?
You'll Never Guess How Many Empty Houses Are Just Sitting Around
We must admit that the homeless are probably here to stay. Sadly, they just seem to live in the gutter, with no place to go. Some of them have obvious mental health problems, while others lack the funds to get on their feet. Whatever the main cause, there are more than half a million souls on the street. You might theorize that the problem is a lack of housing. But when new look at the data, that's not what we see.
In 2019, a survey showed there were 17 million vacant homes in the USA. They are clearly owned by someone, and they are not all filled with residents. Theoretically, there are plenty of homes for the homeless. But the truth, as usual, might be more complex.
Over 50% of Commercial Pilots Admit to This
It was scary enough to learn to drive a car or ride a bike. Few of us are daring enough to sign up for flight lessons. But there are those with a passion for the skies, and they do it professionally. Commercial pilots transport us all over the world, and they rarely make serious errors. Airfare is actually statistically safer than the road. But we're not really sure why. Over 50% of the pilots in one survey admitted to having fallen asleep while flying. Say what?
Yes, you read that right. Up in the air, your pilot may have dozed off for a moment. Or for more than a moment. They didn't really elaborate. Thankfully, they're not typically managing the cockpit alone!
You Haven't yet Realized Just Long Ago 1980 Was
The 20th century had highly recognizable decades. Each ten-year period has its quirks, and we all have our favorite. From the poodle skirts of the 1950s to the disco boots of the 1970s, things always had a distinct flavor. And what about the 1980s? There was big hair. There were shoulder pads. And there was Michael Jackson, before things got weird. It seems like that was all a while ago. Just how much, though?
1980 and 1939 are actually just as far apart as 1980 and 2021, folks. Do the math, and you will see that we are right. Really puts time into perspective!
Why You Are Actually a Different Height in the Morning
Do you suspect your height changes throughout the day? It does, according to scientists. You are taller in the morning! The increase is only about 1cm, so don't get too excited. But that's enough to make us ponder. The reason, it seems, lies in the phenomenon called gravity compressing cartilage in our spines and knees. In a resting position, all of that can decompress a bit. Astronauts actually experience this in space, all the time!
All night long is enough time to let it all relax, here on earth. Yes, you are shorter by the end of the day. Is it worth crying about? We don't think so. We actually think it's pretty interesting!
Guess the World Record Number of Humans a Single Tiger Killed
Tigers are fearsome cats, and few of us would want to come face to face with one in real life. At the zoo, sure. But that's because there are bars. In some parts of the world, believe it or not, tigers are a part of the local landscape. The Champawat Tiger hunted humans in Nepal around the turn of the 20th century. It managed to kill 436 people during its nine lives. This got the attention of the army!
The female Bengal tiger evaded the army successfully and kept killing villagers. She was finally shot in 1907 by British resident Jim Corbett, a leading hunter at the time. Thanks, Jim!
Why People Used to Take Photos of Their Dead Relatives
We take digital photography for granted, at this point. Every one of us has a high-quality camera in our pocket at all times, right on our phones. But we know that this is not the first version of a camera. The earlier devices were far bigger and bulkier, and not everyone had a chance to get snapped in their lifetimes. During the Victorian era, it was quite expensive. What was it usually reserved for?
Well, people wanted to remember their dead loved ones. At death, they arranged them in live positions and took one last image. They kept the precious photo as a memento. Kinda creepy!
Your Blood Is a Lot Saltier Than You Ever Knew
President John F. Kennedy said: “All of us have in our veins the exact same percentage of salt in our blood that exists in the ocean, and, therefore, we have salt in our blood, in our sweat, in our tears. We are tied to the ocean." Was he just using a poetic metaphor for a fancy speech? No, he was actually citing some pretty solid science. Why are we so salty, though?
If you think about it, this element is a really important part of our body chemistry. If you have too much, you could get high blood pressure or stomach cancer. If you have too little, you might have poor quality nerve signals. The more you know!
Ancient Brits Used These as Bowls and Cups
Brits seem like the more civilized English speakers today. But there was an ancient past in the UK that predates the accents we know and love now. Way back before princes and princesses, kings and queens, there were other tribes on the island. Some of them were cannibals. And when they were done eating their human prey. they used every part of the skeleton.
Breaking the skull in half, they used the base of the cranium as a cup. We get the idea, and we see the shape works well. But why not just use an animal head?
Turns Out That Almost Nobody Washes Their Hands After the Bathroom
It's pretty gross to ponder why fast food restaurants have those signs telling all employees to wash their hands before returning to work. Doesn't everyone already do that? In a perfect world, yes. But in our world, a surprising number of our fellow citizens don't even bother. A recent survey found that fewer than 75% of females and fewer than 50% of males actually wash their hands after the toilet.
These folks just use a public bathroom, touch everything, and then return to the world. We hope that our friends are in the minority. But odds are, at one least one person in your life isn't scrubbing up!
This Is How Much Skin You Shed Over Your Lifetime
We've all heard that the skin is the largest organ in the human body. We also know that when we get a cut, it heals remarkably fast. Our skin is remarkable. But you might wonder just how much skin you actually create and get rid of throughout your life. If you're one of the folks wondering that, we have the answer. Would you believe that you will eventually shed more than 100 pounds of the stuff?
Thinking about a huge pile of those skin flakes is kind of nasty, if you really focus on the visual. We're not going to do that, though. We're just going to make sure you do. Try to ignore it now!
Hamsters Eat Something You Wouldn't Expect
Dogs and cats are a lot of work, and not everyone is ready for the responsibility. But there's an alternative: Hamsters are one of many little creatures people choose as pets when they're looking for a low-maintenance pal. They're tiny, fuzzy, and cute. And they seem innocent. But are they, really? Those who have had multiple hamsters report something twisted we would never guess from looking at them. Cannibalism is common!
We hate to admit this, but it happens. From time to time, hamsters get territorial. When you're trapped in a small glass box, there's not much space to go around!
Your Happiness Actually Peaks at This Age
It might seem strange to try to quantify happiness. But scientists have done exactly that, in terms of the peak throughout a human lifetime. When is the happiest time, you ask? Well, it turns out that there are actually two peaks. The first is early, at age 21. Presumably, that's when life just starts to get exciting. But then, it drops! The next time average happiness will compare is a lot later.
People only report feeling as happy as they were at 21 when they finally retire. Evidently, there are a lot of emotional challenges in between. Does that sound right to you?
Diabetic Pee Has More Uses Than You Think
Sure, we all know that diabetes means your body has a problem processing sugar. We've heard you pee it all out. But who knew that this urine so was so sugary, it could be made into whiskey? Indeed, it can. And one project called Family Whisky is trying to do exactly that, with purified urine. According to the founder: "I make a clear alcohol spirit. This is again not the traditional method for making whisky but I adopted a commercial technique for cheap whisky and used whisky blends which I added to the sprite to give color, taste and viscosity."
The urine came from an old folks home in the UK. So far, it's just an experiment. But who knows? Maybe one day, it will be a product at a store near you. Would you try it?
You Don't Even Want to Know How Much Bacteria Is in a Kiss
It's intimate, and it's exciting. Smooching is a favorite pastime for many. In the heat of romance, we don't like to think about the downsides. But have you ever considered just how dirty the human mouth is? Scientists have figured out that at least 80 million bacteria are exchanged during a ten-second liplock. That certainly sounds like a lot to us. Is it enough to make you reconsider the activity?
Our guess is, not really. When you're in the mood, these things just don't seem that important. People have been kissing since the beginning of time, and it's not slowing down.
This Is Why You Never Bite Off Your Own Fingers
It might sound like a strange topic to research, but it's too late to stop it now. Scientists have figured out exactly how easy it is to bite off our own fingers. As it turns out, it's not as hard as you might think. Our jaws actually have more than enough bite power to remove a digit. What stops us? Our brains have a natural mechanism to protect us from our own behavior.
We do love all ten of our fingers, and we intend to keep them. Nature was right to wire that in. Who knows what could happen if we were totally free to chomp?
You Don't Even Want to Know What This Is
The earth looked pretty different, millions of years ago. The sea did, too! We all know that dinosaurs were giant lizards that roamed our world, and we've made peace with that. But what was swimming around in the water? Terrifyingly, there was once a sea scorpion that was the size of a great white shark. The largest was called Jaekelopterus, and it reached 2.5 meters in length. That's absolutely giant!
Don't believe us? Fossils have been found on just about every continent. The evidence is in, and it's hard to deny. We're just glad we were born now, in the time of tiny little land scorpions.
Almost Everything Is Cleaner Than Your Carpet
Americans are crazy about their carpets. They're not satisfied to just buy a throw rug, and call it a day. It's not a matter of decoration. It's a desire to be surrounded in total comfort, in every inch of your living space. Wall-to-wall carpet is common for that reason. But even if you vacuum the recommended amount, your carpet is disgusting. Did you know that there is 4,000 times more bacteria on it than something in your bathroom?
Surprise, friends: We're talking about your toilet. When it's put in those terms, it almost makes you reconsider the idea of carpet at all. Is it really worth the germs?
Cruise Ships Are Legally Required to Have This for Every Trip
Have you ever taken a cruise? It might be worth trying that out, once in your life. The idea of sailing around in luxury is so popular that around 30 million vacationers choose it each year. But with that many folks floating around, there are bound to be a few natural deaths. Just statistically, it seems likely to happen. Surely, they don't throw the bodies overboard! What's the plan?
Don't worry, your body will be stored fresh for your funeral, should this occur. Cruise ships are actually legally required to have a morgue for exactly that situation. It's inevitable that it will be used at some point. Sad, but true!
This Is What Happens if You Become the Oldest Person Alive
We all debate immortality, at some point. Would we want to live forever? Maybe, if all our friends and loved ones were right there with us. But we're not sure if that's part of the deal. Just in case it isn't, we know what would happen if you became the oldest person alive. Essentially, that means that the entire human population would be replaced while you are alive. Except, of course, for you.
Sounds like it could be tough to watch everyone be born, live, and die. Some might choose this fate. But a whole lot of you wouldn't want to witness the funerals. It's a dark topic, to be sure!
The Average Number of Skeletons in a Human Body Isn't 1
We might walk around thinking that we just have one skeleton in our body. That is the working assumption, and there has never been a reason to question it. But reading the stats about the average number of skeletons in the human body, it's easy to get confused. Why in the world would this number not be one? There's an obvious reason, actually. Have you considered that pregnant women are in the pool?
For a few months, women have two or more skeletons inside. It's a little creepy when it's put that way. But the miracle of life continues, and it doesn't care what we think.
The TSA Missed This Many Weapons During a Test Run
The terror attack of September 11, 2001 led to a lot of changes in airline policy. Truly, there were way too many terrorists trying to sneak on planes. The Transportation Security Administration, otherwise known as the TSA, is charged with securing basic safety for travelers. We've all dealt with them making us take off our shoes and look at our bodies a little too closely. Are they at least effective?
Worryingly, maybe not. In a government experiment, around 95% of the guns got through. We don't know how that could have been missed, especially when that's your one job. Big yikes!
This Is the Last Sense to Leave Before You Die
It's a little morbid, but life eventually ends. If you are not taken out by a sudden accident, you might find yourself slowly leaving as you lie in a bed. If that's the case, you might be curious what sense is the last to leave your body. Researchers have actually figured that one out. After your sight goes, you're still able to take in your surroundings a little bit. How?
Your hearing is still there, until the end. As your loved ones surround you, they can still talk to you. Hopefully, this scenario isn't anytime soon. But hey, at least that question has been answered.
People Would Actually Drink This at the Colosseum
During the gladiator games of yesteryear, people loved brutality. Maybe we get our fix in the movies, these days, with fake blood. But truly, special effects are pretty new. At the colosseum, real humans would fight each other to the death for sport. Sometimes large predators were thrown in, like lions and tigers. When it didn't end well, many audience members would run onto the field. Guess what they wanted?
They wanted to drink blood. Yes, blood! People thought you could absorb the skills and traits of a warrior by doing this, and drink up they did. These were barbaric times!
The Survival Rate for a Home Heart Attack Aren't Good at All
We all try to eat healthy when we can. Sometimes, it's hard to resist cheeseburgers and pizza, though. Docs tell us not to overindulge if we want to be around as long as possible. One possible consequence of a bad diet is heart disease. It's actually the number one killer of Americans. When things get clogged up enough, you can have a heart attack. Are you likely to survive?
If you're already in a hospital, that helps. But how often is that the case? For heart attacks at home, survival rates are around one in ten. That's not great, we must admit!
There Is Something Actually Called Locked-In Syndrome
Many of us have reoccurring nightmares. Sometimes, it involves giant beasts coming to eat our families. other times, sinking ships are involved. But one of the scariest dreams of all is when you are paralyzed and locked in your own body. So helpless and alone! We're always happy to wake up and realize that none of it actually happened. But would you believe there is a real syndrome like that?
Locked-In Syndrome is a condition where you basically are locked in a coma state, but you can see everything going on. Why does it happen? It's a neurological state caused by drug overdoses and traumatic brain injury. There is currently no cure at all!
Daytime Is Not Really a Normal Thing in the Universe
Day and night, and then day again. We take the concept for granted, don't we? Since it's been a fact of our lives this whole time, there's no reason to doubt that this is normal. But what if we told you that night is really the natural situation in the universe? If you think about it, you know that space is a deep, dark place. What changes that, you ask?
You really need to be near a big ball of flaming gas. The only way to illuminate it is the presence of the sun near your planet. Like our sun, for example. Thanks, sun!
German Heart Attacks Double When This Happens
In the case of soccer, the World Cup is a big deal. How big? In Germany, the risk of a heart attack doubles when their national team is playing. According to a study on the phenomena: "Viewing a stressful soccer match more than doubles the risk of an acute cardiovascular event. In view of this excess risk, particularly in men with known coronary heart disease, preventive measures are urgently needed."
We all know that sports fans take their championships seriously. But when the other team scores a goal, you really shouldn't drop dead! We think this is more than a little intense. Next time, we suggest golf.







































