Cleidocranial Dysostosis Under An X-Ray
Cleidocranial Dysostosis is a medical condition that can affect people in a number of different ways. Sometimes, it can cause someone's body to not develop certain bones. Generally, it's just described as a genetic condition that causes someone's bones to form differently. Only about one in a million people are born with it. This person posted their X-ray online and said it caused them to be born with a couple of extra sets of teeth in their mouth.
Having this many teeth looks incredibly painful. However, it also looks like it'd be fairly easy for a dentist to just go in and remove all of the extra teeth. Or at least we hope so!
Before And After Scoliosis Surgery
Many people out there have some form of scoliosis, whether mild or more severe. The x-ray on the left appears to be more severe scoliosis. The image on the right is what this person's spine looked like after they had surgery to fix their spine. We don't have all the details, and there are multiple ways to treat scoliosis, but it would appear that doctors used a brace to help repair this person's spine.
There's still a little bit of curvature in the photo on the right, but it looks much better than it did before the surgery.
A Corgi Thought the Gravel Looked Tasty
Humans aren't the only ones to regularly appear on X-rays with weird things inside their bodies. Someone's Welsh corgi apparently ingested two cups of pea gravel — small stones typically used for landscaping — before their owner managed to put a stop to it. The owner rushed the dog to the vet, where this X-ray was taken. The gravel appears to be clumped together inside the entirety of the dog's stomach.
Suffice it to say, it probably wasn't a great day for this little pooch, but we imagine that the vet was able to safely remove all of the gravel from the dog's stomach.
Toy Alien Sent A Cat To The Vet
Usually, when you hear about an animal swallowing something that it shouldn't have swallowed, it involves a dog or a snake. However, it turns out that cats can be just as bad. This five-month-old cat was taken to the vet after swallowing a toy alien. Luckily, the toy looks pretty small, but we're sure that the vet still probably had to surgically remove it because it wouldn't break down in the cat's stomach.
It's amazing how well the toy can be made out in the X-ray though, or, at least the silhouette of the toy. It just looks like a tiny alien stuck inside a rib cage.
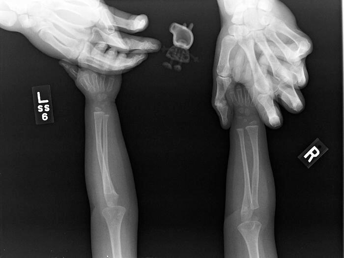
Not Going It Alone
Compared to many of the other x-rays on this list, this one is pretty heartwarming. You can see a small figurine in this x-ray, and that's because the little girl who was x-rayed here demanded that they let her toy Peppa Pig get x-rayed with her. It appears that this girl also has a fracture next to her right elbow, so to still demand that her toy goes with her shows some spirit.
Peppa is pretty clearly visible in the x-ray, too, and as you can see she looks perfectly fine and content sitting there beside her friend while she has her x-ray done.
Anubis Or Regular Canine?
We'd probably be a bit shaken up if we were a doctor and we got back a random x-ray like this without knowing who the patient was. It looks like some kind of demon dog or Anubis. The truth is this dog is probably much more docile. Its owner posted this x-ray of it and said that the dog moved at just the right moment while they were performing the x-ray.
We just wish that we had a normal photo of the dog for comparison purposes, but we're sure they're much more of a looker than this x-ray would have you believe.
Somehow, This Dog Ingested A Metal Pipe
Most of us deeply love our canine friends. However, let's face it, sometimes they don't always think before they act. This dog's name is Penelope, and somehow, she managed to swallow an entire metal pipe. We're not exactly sure how this is even possible since the pipe looks like it's about as long as the dog, but maybe it was through sheer determination. Thankfully, there was a happy ending for this pitbull terrier.
The vet was able to remove the pipe through exploratory surgery, and we're sure Penelope made a full recovery. We're also pretty sure she won't be trying that again.
Doctors Found A Steel Spoon In This Man's Esophagus
Sometimes, photos create more questions than they answer. We're guessing the same must be true for x-rays, as well. This is an x-ray of a man in China. Doctors found that he had a steel spoon lodged in his esophagus when they took this x-ray, but the man said that it hadn't caused him much discomfort despite being lodged there for a year. This causes us some discomfort just by looking at it.
Also, how does a spoon even get lodged in your throat from that end? You usually eat with the other side of a spoon, why would it be lodged handle first?
What Happened To Charlie?
Imagine coming home to find that your pet parrot is mysteriously missing, and your pet boa snake looks a bit fatter than when you left. We're sure the owners had an idea about what happened before they took their snake in for an X-ray, but they probably just wanted to be sure. When the X-ray was finished, they saw that their snake had swallowed their pet parrot, and there wasn't much they could do about it.
The poor guy was gone for good. We just hope they learned to better secure their snake's enclosure after this incident so that it wouldn't happen again in the future.
This Is What Covid Pneumonia Can Do To Your Lungs
We all know that Covid can attack one's lungs and cause serious breathing issues. However, it's easy to underestimate just how much damage the virus actually does. These two photos show the progression of Covid pneumonia over the course of five days. The top photo looks relatively normal, but the bottom photo shows serious damage. The lack of dark space in the X-ray is basically a lack of empty space for air.
Luckily, this person recovered but, we're sure that at least some of the damage done was permanent and this person's lungs will probably never be the same after this incident.
Getting Ready To Have A Litter Of Puppies
Most of us have never actually thought about what a litter of puppies looks like on a sonogram or X-ray. It turns out that it looks completely different from a human pregnancy. Who would've thought right? You can see all of the tiny puppies in their mother's womb. They look really bunched up in there, so much so that it's kind of hard to make out how many there are.
They don't usually take X-rays of pregnant animals or humans because of the inherent risks of radiation, but there must've been something they were concerned about and needed to check before the dog gave birth.
Stingrays Are Really Just Flying Saucers
Stingrays already kind of look like they're from an alien planet, but they look completely otherworldly when placed under an X-ray. You can see in this photo that all of their organs are located in one central spot. However, that's not bones radiating throughout their outer disc. Instead, it's cartilage. Since they're so closely related to sharks, their body is made up of the same material. Humans also have cartilage, but mainly in their noses.
The cartilage in their bodies forms an almost perfect pattern. It's so intricate and precise that it's actually kind of mesmerizing to just stare at the skeleton in this X-ray.
An X-Ray Of A Hammerhead Shark
While sharks don't technically have bones, their cartilage is pretty thick in some areas. You can see that this hammerhead's skull is thick enough to resemble actual bones underneath an X-ray. It also turns out that hammerheads look a lot like Sid the Sloth from Ice Age. The skull is pretty wild, especially when you consider how much evolutionary work probably went into forming something as unique as that.
This photo also makes one wonder if something like this is where someone got the inspiration for Kaiju or the giant monsters you see in films like Pacific Rim.
A Cat-Shaped Sarcophagus Held A Kitten
X-rays have been adopted for use in a number of different scientific disciplines. For example, archeologists sometimes use them to peer inside ancient objects or examine them for details they might've otherwise missed. When they used an X-ray on this cat-shaped container, they found the remains of a tiny kitten inside. We're not entirely sure if the kitten was mummified, but it might well have been since it was a fairly common practice to mummify animals.
Many people in Ancient Egypt would offer mummified cats in Bubastis, a city that housed a shrine to the cat goddess Bastet, according to the Carnegie Museum of Natural History.
Multiple Portraits Of Charles II Of Spain
Researchers were probably decently surprised when they x-rayed this portrait of Spain's Charles II. They actually found that the portrait had been painted over at one point. The original painting was of Charles II when he was only a couple of years younger, hence, why he appears shorter in the x-rayed image. And if you're wondering why he looks a bit peculiar in this portrait, the Hapsburgs, like many other royal families, were known for intermarrying into the family.
It's thought that his many years of ill health were due to this fact. Still, he managed to live to the age of 38, which isn't so bad considering the period in which he lived and his circumstances.
Advanced Rheumatoid Arthritis Underneath An X-Ray
If you or someone you know has rheumatoid arthritis, then you know it can be an incredibly painful condition. And this is why. This is advanced rheumatoid arthritis, and at this point, all of the joints have stopped working as they should. This x-ray is incredibly painful to look at. The condition can affect the hands or the feet, and as painful as it is to look at on an x-ray, it's much worse for the person who has it.
As you can see in the x-ray, the fingers are no longer located at the angles or in the places that they should be. With rheumatoid arthritis, the body's immune system attacks the tissue that lines your joints.
Ballerinas While En Pointe
Ballerinas perform extraordinary maneuvers while dancing, but some of the most mind-blowing probably involve pointe work. That's when they stand on the tips of their toes while supporting their entire body weight. This x-ray shows just how incredible that feat actually is. A husband posted this x-ray of his wife, who was a ballerina, while she was en pointe. The foot is pointing downward at an almost perfect angle.
While this probably hurts most people to look at, it actually doesn't feel that bad for dancers, so long as they don't stay in this position for too long and are wearing the proper shoes.
A Cadre Of Kittens
This one is similar to the x-ray of the pregnant dog, which appears on this. Except, this is a momma cat that's preparing to have a litter of kittens. Like the dog, you can see a whole bunch of tiny little bodies all bunched up together in the x-ray. However, this one appears to have been taken from the front, so it's a bit more difficult to make out how many kittens are in there.
We've also never appreciated just how large a cat's stomach gets when they're pregnant, but that's probably because they usually have all of that fur to cover it up.
This Device Detects And Treats Seizures
This is called an RNS system, or responsive neurostimulation, and it's meant to detect and treat seizures. This person had surgery to get the device implanted in their skull, and you can see in the x-ray how the leads run down into the brain. They go to the point where this person's seizures originate. This person also has a couple of brackets holding their skull together that are visible in the x-ray.
Suffice it to say; this person has probably had a lot of problems with seizures in the past. We hope they were able to find some comfort after this device was installed.
That Looks Unpleasant
If you're a bit squeamish, then you might want to frantically scroll past this one. This x-ray looks like something you might see happen in a horror movie. We're not sure what exactly happened, but whatever it was it contained enough force to completely dislodge this person's forearm and puncture their skin. We couldn't even imagine staying still long enough to have an x-ray done if this had happened to us.
We're sure that the doctors were able to fix this with a couple of metal rods and plates, but there's no getting that image out of someone's head once they've seen it.
Something Is Off About One Of These X-Rays
This one is sort of like trying to tell the difference between a collection of similar images. This truck was going through a routine checkpoint or weigh station when it was scanned and flagged for further inspection. You can see what the x-ray technician noticed in the third image from eh top. There appears to be a bit of cargo that doesn't fit in with the rest of the load.
Not only is the packaging much larger than the rest of the stuff in the trailer, but it also has rounded edges and appears as if someone was trying to hide it.
The Long Neck Of A Flamingo
We're pretty sure that most people out there have seen a flamingo before, whether on T.V. or in person. And while their long necks are usually one of the first things that stand out, it's hard to get a sense of just how unique a feature that actually is. This x-ray shows the upper or frontal half of a flamingo's body, and the neck is just incredible to look at.
Everything is so compact and streamlined that it almost appears as though you're looking at a piece of machinery. There's absolutely no wasted space and only enough for the bones and throat.
A Not Fat, But Round Cat
It's not uncommon to see a cat that's... a bit fluffy. But, this cat isn't round because they're lazy. Instead, this guy has scoliosis in much the same way that some humans have the condition. You can see in the x-ray that the cat's spine is curved and twists a bit, causing the cat to appear rounded. Luckily, it doesn't seem to affect this cat too much in its day to day.
We only say that because this cat actually has its own Instagram page called Pitoe, where she can be seen playing and doing other things that cats like to do.
Miss Correct Posture At The 1956 Chiropractic Convention
If it weren't for the x-rays in this photo, it would look like any other beauty pageant. However, this wasn't just any other beauty pageant. The contestants in this pageant had to get x-rays in order for judges to be able to assess their posture. It was called Miss Correct Posture, and it was held in Chicago at the 1956 Chiropractic Convention. A woman named Lois Conway came in first place, according to NPR.
The last large pageant like this was held in Chattanooga, Tennessee. Dr. P. Reginald Hug, who used to be the president of the Association for the History of Chiropractic, and is now retired in Birmingham, Alabama, told NPR that they also held contests for men. However, they weren't as popular, and "The guys always slouched," he said.
The Curvature Inside A Tiger's Paw
This paw is probably a little different than your typical housecat's. It's a tiger's paw underneath an x-ray, and you can see just how these guys are so deadly silent. There are a lot of different joints and claws tucked away inside there. They're all probably meant to aid the tiger as much as possible when it's trying to sneak up on prey and then when it latches on.
There appears to be much more going on here, especially at the tips of the fingers or toes, than you would find in a normal x-ray of a human's hand.
This Is What Can Happen When You Eat Cereal
Okay, so this is unlikely to happen to you just because you eat cereal, but it is possible. This person was eating cereal, maybe for breakfast, maybe for dinner; we're not entirely sure when they accidentally dislocated their jaw. They went to the doctor, who took this x-ray. You can see how their jaw just seems to hang there in this image. We imagine this was probably pretty painful.
Apparently, this can also happen if you yawn too hard. Pretty much anything that requires you to open your mouth wide can result in your jaw dislocating, so be careful out there.
Nikola Tesla's Foot In 1896
This is a pretty cool x-ray image. This is actually Nikola Tesla's foot, and the x-ray was generated by his own vacuum tube, which was around 8 feet away from him. Seeing Tesla's foot is pretty cool, but seeing all of the metal pieces in his shoe might be just as interesting. They used way more tacks back then compared to today. It's also kind of neat to see the eyeholes floating there like that.
Tesla experimented with x-rays for a couple of years. According to the National Library of Medicine, he was actually one of the first to observe that x-ray radiation had potentially harmful effects on the human body.
Injuries From A Nail Gun
This photo might make it appear as though this guy had a pretty bad day. And they did, but it could've been much worse. This person was hit by two nails from a nail gun, but luckily, the nails just missed their femur and kneecap. You can see where the nails punctured right between the two. Kneecap injuries can keep someone from walking for months and potentially longer, so this person got lucky.
Nail guns usually have a safety that prevents them from shooting unless the tip of the gun is pressed up against something, so maybe this guy was just lowering his when it bounced on his knee and went off or something.
Neil Armstrong's Moon Boots Before They Landed On The Moon
These might look like any other pair of oversized shoes, but they're actually Neil Armstrong's moon boots. This x-ray was taken on July 7, 1969, before the astronauts went to the moon. It turns out that NASA actually took x-rays of all of their clothing because they wanted to ensure there weren't any sharp objects in the clothing that could've led to a puncture and potentially very serious situation in space.
We knew that NASA is pretty thorough in their work, but we never would've expected them to x-ray clothing just to check for sharp objects. It's always better to be safe than sorry.
A Ghost Bat Underneath An X-Ray
This ghost bat might look a little sinister underneath an x-ray, but they're pretty harmless unless you're a smaller bat or a small bird. From this x-ray, it's easy to see what makes this bat, or any bat for that matter, able to fly so well. Their silhouette is pretty lean, and the only reason they look so large is that their skin stretches out to form their wings.
In this x-ray, their skeleton actually looks almost human, just with much longer fingers and far skinnier arms and legs. Their "pinky finger" extends all the way down their wings.
Elemental Mercury Inside Someone's Body
This one is a bit sad, but this is an x-ray of someone who attempted suicide by injecting elemental mercury. You can see all of the mercury traveling through the veins and the way it kind of branches out in some spots. We imagine this was immensely painful. However, it's important to note that elemental mercury is somewhat different from the mercury you might find in a solid state.
There have been a couple of different recorded attempted suicides by mercury. However, doctors are usually able to get most of it out, although there have been cases where the person died months afterward due to toxicity in the blood.
Mammogram Imaging Of Breast Implants
These images were part of a study trying to evaluate how to best take mammograms of women with breast implants. Because implants make it a bit more difficult for doctors to see tissue, there usually has to be more than one x-ray taken. From these comparison photos, it's easy to see why it might be difficult for a doctor to see all of the breast tissue around the implant.
Because of this, doctors will generally push the implant towards your chest during a mammogram in order to get a clearer view of the breast tissue around the implant.
A Baby Monkey Inside Someone's Rectum
Full disclosure, we're not entirely sure if this one is real or not. However, considering what some people are willing to do and some of the other x-rays on this list, it's entirely possible. This person was admitted to the doctor and found to have a baby monkey stuck inside his rectum. He said that he accidentally sat on it. We're not entirely sure that the doctor needed an x-ray to figure out what was up there.
We're also pretty sure that if this is real, then this guy didn't just "fall" on a monkey so hard that it ended up shoved that far up their rectum.
Whole Body Imaging At Airports
If you've ever flown, then a similar image to this one might've been produced when you walked through an airport x-ray. This is a whole body image, and around 172 airports in the U.S. were using them as of 2019, according to Tripsavvy. As you can see from the images here, they're pretty detailed. So much so that they almost remind us of something out of a superhero comic.
If you're interested, there are a couple of websites out there that list all of the airports that use them, but with that list constantly growing, they don't seem to be going away anytime soon.
Panda Hands Vs Human Hands
At first glance, we just thought this was an x-ray of two people's hands side by side. However, if you look a little closer, you'll notice something a bit different about the hand on the left. For one, it's got some pretty sharp claws attached to the end. It also has a much larger wrist and an extra "thumb." This is what a panda's hand looks like underneath an x-ray.
Pandas use that extra thumb to better grip and probably tear at bamboo. Besides those couple of differences, though, these two look remarkably similar to one another, considering one is a bear, and the other is a human.
Bone Density In A Fighter's Hand
This one is a bit hard to notice. This is the hand of a muay Thai fighter. The arrows are pointing to those two fingers because they're much whiter and denser than the rest of his fingers. That's due to years of training, which has caused the bones to grow tougher or denser. When this photo was posted online, a number of people also pointed to a lot of small fractures and other signs of past injury.
We're not that knowledgeable when it comes to reading x-rays, but something does look a bit off about his wrist. There also just seems to be a random piece of bone next to his thumb.
A Grenade Stuck In U. S. Soldier's Head In Vietnam
This photo was posted online by the National Museum of Health and Medicine in 2006. It shows an x-ray of a soldier who accidentally stepped on a Vietcong landmine in 1967. Somehow, a grenade ended up wedged in the front of their head. You can still see the intact grenade there, and it doesn't appear to have gone off. We're not entirely sure what happened after this or how they even took this x-ray.
This is probably one of the weirdest injuries we've ever seen on an x-ray, but this person might've still been alive when they took the x-ray because there does appear to be a breathing tube in his mouth.
This Is What A Gymnast's Skeleton Looks Like During Routines
We've never actually thought about it before seeing this x-ray, but it makes a lot of sense that a gymnast's skeleton would look pretty wild underneath an x-ray. Someone managed to capture this x-ray of a gymnast, and it's mind-boggling how flexible they are. Their head and back curve so much that their body is basically shaped like a "U." It's almost painful to look at, although we're sure they do something similar to this routinely while performing.
Just by looking at this one image, it's also easy to see how many gymnasts retire early into their careers. We can't imagine how difficult it would be to do this, even in your early 30s.
Getting An X-Ray Of All Six Toes
We're sure this person was pretty excited to get their x-ray results after having one done on their six toes. And honestly, we would be too. As you might expect, the x-ray showed that this person's second toe kind of branched off or split at the end to form two toes. It basically looks the exact same on the inside as it does on the outside, minus the toenails.
It only appears to be the last little joint that is different from the others. Everything else looks perfectly normal and the same as the other toes on his foot.






































